Instrument choice
Instrument choice
Key recommendation
For patients with a diagnosis of periodontitis, use either powered instruments, manual instruments, or a combination of both, to carry out subgingival professional mechanical plaque removal (PMPR) to a high standard; base the choice of instrument on clinician and patient preferences, the clinical situation and the goal of treatment.
(Strong recommendation; high certainty evidence)
A review of current evidence confirmed that there is no difference in the quality of subgingival debridement achieved by using hand instruments or powered scalers if both methods are performed effectively.42 The evidence is considered to be high certainty due to the due to consistency of findings across four RCTs, all of which were judged to be at low risk of bias. Accordingly, the BSP implementation of European S3 – level evidence-based treatment guidelines for stage I-III periodontitis in UK clinical practice (BSP-S3)6 guideline recommends that subgingival periodontal instrumentation is performed with hand or powered (sonic/ultrasonic) instruments, either alone or in combination (see figure: Instruments for PMPR). Successful utilisation of these instruments requires a thorough understanding of tooth and root anatomy, knowledge of how each particular instrument works and an awareness of which instrument works best in a particular area.
Air polishing devices can be used during periodontal instrumentation. There is some evidence that these devices are as effective at removing soft plaque biofilm deposits as hand or powered (sonic/ultrasonic) instruments.71, 72 Studies investigating the effectiveness of air polishing devices have largely focussed on the use of these instruments in supportive care rather than during active therapy. In most situations, they have been shown to be effective at removing biofilm, particularly supragingivally, and are acceptable to patients. However, as these devices do not remove calculus, hand or powered instruments are also required for thorough debridement if calculus is present. Therefore, the use of air polishers is more applicable during Step 4 of therapy (Maintenance) and where calculus removal is not required. Use of air polishers around implant-supported restorations in healthy patients has been shown to be safe but care should be taken if inflammation is present.10
Further details on the development of the recommendations in this guidance can be found in Methodology.
Irrespective of the method(s) of instrumentation employed, thorough mechanical removal of plaque biofilm and calculus from crown and root surfaces is key to effective treatment and resolution of inflammation.

Image A shows a variety of instruments suitable for supragingival PMPR. Image B shows site-specific Gracey curettes for subgingival PMPR. Image C shows various ultrasonic scaler inserts: green tips for removal of calculus from root surfaces or where minimal deposits are present; blue tips for supragingival PMPR; yellow tips (with appropriate plastic covering) for use around dental implants.
The actual time required to adequately instrument each tooth will depend on the level of deposits, the tooth type, the depth of the pocket, whether there is furcation involvement, the presence of challenging anatomy and the location in the mouth. It takes several minutes of instrumentation to effectively debride the root surface. Although effective instrumentation by either method takes time, powered PMPR can be more efficient, taking 37% less time than debridement using hand instruments.73, 74
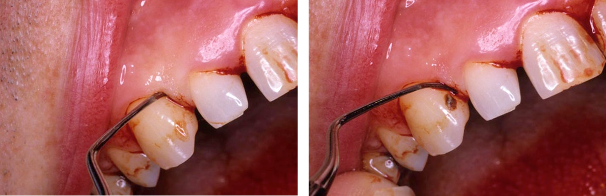
Removal of subgingival calculus

Removal of subgingival calculus using a curette
Remove supra- and subgingival plaque, endotoxin, calculus and debris using hand or powered (sonic/ultrasonic) instruments, either alone or in combination.
- The choice of instrument(s) should take account of patient preferences and operator ability and experience.
Ensure that all instruments are used appropriately and that site-specific instruments are used where required (see figure: Removal of subgingival calculus).
- Allow sufficient time to adequately instrument the root surface. For example, furcations around deep defects will require more time than a single rooted tooth.
- Do not apply the pointed end of sonic and ultrasonic tips to the root surface; use only the sides of the working tip for debridement.
- Use overlapping strokes to instrument all of the affected root surface.