Leukaemia
Leukaemia
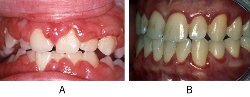
Gingival enlargement, inflammation and bleeding can be a sign of an underlying medical condition that requires investigation, such as undiagnosed leukaemia, in both children and adults (see figure: Leukaemia).

Image A shows gingival enlargement as a result of acute myeloid leukaemia. Image B shows marginal gingivitis, due to neutropenia, in a leukaemia patient awaiting bone marrow transplant. The patient had scrupulous oral hygiene.
In cases of unexplained gingivitis or gingival enlargement which does not respond to treatment as expected, or the extent of the condition is inconsistent with the level of oral hygiene observed, consider urgent referral to an oral medicine specialist or specialist periodontist.