Gingival recession
Gingival recession
Gingival recession is common and may be due to underlying periodontitis, tooth prominence, thin attached gingival tissue or trauma (e.g. from toothbrushing or piercings, see figure: Gingival recession). It may also arise as a consequence of orthodontic treatment, particularly during arch expansion. For many patients, gingival recession causes no symptoms, but some may report dentine sensitivity or aesthetic issues. Management includes eliminating, where possible, the cause of the recession and managing any associated sensitivity. In most cases, more active management of recession defects is not required. Surgery to manage these defects is complex and beyond the scope of this guidance, but can be considered if there are specific concerns.

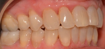
Generalised mid-buccal recession associated with toothbrushing trauma. Note also gingivitis is present in the upper and lower anterior regions where oral hygiene is inadequate.
If gingival recession is present:
Carry out a periodontal examination to establish a periodontal diagnosis and to identify inflammatory disease or other contributing factors for recession.
Eliminate the cause of the recession, where possible.
- If the recession is due to overzealous toothbrushing, help the patient develop an atraumatic technique.
- If recession develops during orthodontic treatment, stop treatment and seek advice regarding ongoing care.
- Advise the removal of piercings which are causing recession or may lead to this in future.
Manage any recession-associated sensitivity (see Management of dentine sensitivity).
- In most cases, dentine sensitivity can be effectively managed by amending toothbrushing habits and the use of topical toothpastes.
- If these fail to resolve the sensitivity, consider application of in-surgery agents to occlude exposed dentinal tubules.
Monitor the recession to check for stability in the longer term.
- Dental charts that record recession from the CEJ, digital scans or photographs which show the affected area or conventional study casts can be used as monitoring tools.