Drug-influenced gingival enlargement
Drug-influenced gingival enlargement
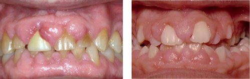
Patients taking certain drugs for existing conditions such as calcium channel blockers for hypertension, phenytoin for epilepsy and ciclosporin, an anti-rejection drug which can also be prescribed for some autoimmune disorders, may be at risk of drug-influenced gingival enlargement (see figure: Drug-influenced gingival enlargement). In cases where gingival overgrowth is limited, the condition may respond to non-surgical treatment. In addition to periodontal management, drug substitution should be considered and can be discussed with the patient’s general medical practitioner. Periodontal surgery may be required to reduce and recontour the tissue at sites of gingival enlargement. However, the condition may recur in susceptible individuals and the surgery may need to be repeated.
Drug-influenced gingival enlargement

Examples of drug-influenced gingival enlargement
Ensure you have an up-to-date medical history for all patients.
Provide personalised oral hygiene advice and instruction to assist and encourage the patient to improve their oral hygiene skills as well as their understanding of the value of good self-care routines (see Oral hygiene).
Where applicable, give information regarding other personal risk factors and modifying them, for example, advice on smoking cessation and diabetes control (see Smoking cessation and Control of diabetes).
Remove factors that impede effective plaque control, such as calculus, using an appropriate method.
Ensure that other local plaque retentive factors are corrected - for example, remove overhanging restorations or alter denture design. Ensure patients are able to clean effectively around fixed orthodontic appliances.
Where drug-influenced gingival enlargement hinders adequate plaque removal, becomes an aesthetic issue or interferes with the normal function of the oral cavity, consult the patient’s physician regarding possible drug substitution and/or consider referring for specialist periodontal care.
Re-assess at a future visit to determine whether the gingival enlargement has resolved.
In cases of unexplained gingival enlargement which does not respond to treatment as expected, or the extent of the condition is inconsistent with the level of oral hygiene observed, consider urgent referral to an oral medicine specialist or specialist periodontist.