Combined endo-perio lesions
Combined endodontic-periodontal lesions
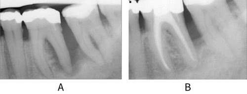
Combined endodontic-periodontal lesions occur where a patient not only has clinical attachment loss but also a tooth with a necrotic, or partially necrotic, pulp (see Other periodontal conditions). Pulpal damage may occur as a result of exposure of accessory canals in patient with a diagnosis of periodontitis, or the lesion may be associated with damage to the root or root surface itself, independent of periodontal disease. These lesions can be difficult to diagnose, therefore a clinical examination and the use of special tests (radiographs and vitality tests) are required to assess both the periodontal (swelling, bleeding or suppuration, increased probing pocket depth) and endodontic (presence of root damage or perforation, pulpal status, presence of fistula, tenderness to percussion) signs (see figure: Endodontic-periodontal lesion).

A: Periapical radiograph before treatment showing bone loss extending to the apex and into furcation around tooth 36. This was managed by a combination of endodontic and non-surgical periodontal treatment. B: Image after treatment shows good quality root filling and bone infill around the distal root of 36.
Management will involve both endodontic and periodontal treatment, although the endodontic source of infection should be eliminated with root canal treatment in the first instance. Where damage to the root itself is present, the tooth may not be saveable.
Consider the overall prognosis of the tooth (see Assessing tooth prognosis) and assess whether tooth retention is possible or desirable.
If the tooth is to be retained, carry out endodontic treatment of the affected tooth.
Following endodontic treatment manage the periodontal tissues as indicated non surgically or surgically.
Do not prescribe antibiotics unless there are signs of spreading infection or systemic involvement.