Acute conditions
Acute conditions
Acute conditions should be managed using local measures in the first instance. Do not prescribe antibiotics unless there is evidence of spreading infection (cellulitis, lymph node involvement) or systemic involvement (fever, malaise). Where antibiotic therapy is indicated, refer to the SDCEP Drug Prescribing for Dentistry guidance95 for further details of drug regimens.
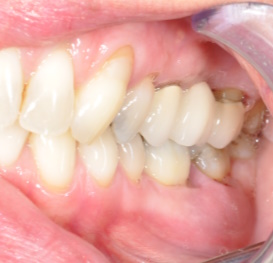
Periodontal abscesses most frequently occur in pre-existing periodontal pockets and are characterised by localized accumulation of pus within the gingival wall of the periodontal pocket/sulcus (see Other periodontal conditions). They cause rapid tissue destruction, which may compromise tooth prognosis, and are associated with risk for systemic dissemination (see figure: Periodontal abscess).41

Periodontal abscess at 36, 37 in a patient with periodontitis.
Establish that the lesion is periodontal in nature rather than a combined endodontic-periodontal lesion or one of pulpal origin.
- Periodontal abscesses can occur in patients without a diagnosis of periodontitis, for example following impaction of food or other foreign bodies.
- Note that recurrent periodontal abscesses may indicate undiagnosed diabetes (see Control of diabetes).
Carry out careful subgingival PMPR short of the base of the periodontal pocket to avoid iatrogenic damage; local anaesthesia may be required.
If pus is present in a periodontal abscess, drain by incision or through the periodontal pocket.
Recommend optimal analgesia.
Do not prescribe antibiotics unless there are signs of spreading infection or systemic involvement.
Following acute management, arrange early review (e.g. within ten days) and carry out definitive periodontal instrumentation. Arrange an appropriate recall interval.
Necrotising gingivitis is characterised by marginal gingival ulceration with blunting/loss of the interdental papillae and a grey sloughing on the surface of the ulcers (see figure: Necrotising ulcerative gingivitis).41 It may be accompanied by a characteristic halitosis and is often painful. It is associated with anaerobic fuso-spirochaetal bacteria and is more common in patients who smoke, the immunosuppressed and those with inadequate oral hygiene (see Other periodontal conditions). Necrotising periodontitis is diagnosed in the presence of connective tissue attachment loss and bone destruction.
As an adjunct to local measures, metronidazole is the drug of first choice where there is systemic involvement or persistent swelling despite local measures.
Establish if there are any underlying contributing risk factors, such as systemic disease or smoking, which could be controlled by the patient (see Systemic risk factors).
Provide personalised oral hygiene advice and instruction to assist and encourage the patient to improve their oral hygiene skills as well as their understanding of the value of good self-care routines (see Oral hygiene).
Remove supra- and subgingival plaque and calculus deposits using an appropriate method; local anaesthesia may be required.
- Due to the pain associated with the condition, the patient may only be able to tolerate limited supra- and subgingival PMPR in the acute phase.
Recommend the use of either 6% hydrogen peroxide or 0.2% chlorhexidine mouthwash until the acute symptoms subside.
If there is evidence of spreading infection or systemic involvement, or if local measures are incomplete at initial presentation:
- consider prescribing metronidazole;
- give the patient advice about general analgesia, hydration and rest.
Following acute management, arrange early review (e.g. in 3-5 days) and carry out further supra- and subgingival PMPR as required and arrange an appropriate recall interval.
If no resolution of signs and symptoms occurs, review the patient’s general health and consider referral to a specialist in primary or secondary care.