Supportive periodontal care
Supportive periodontal care
Key recommendation
For patients with a diagnosis of periodontitis who have completed active periodontal therapy, provide regular* supportive periodontal care to maintain stability of the patient’s disease status.
(Strong recommendation; low to moderate certainty evidence)
*Suitable recall intervals range from 3 to a maximum of 12 months, with the frequency determined by the patient’s clinical history, an assessment of their risk and the needs and wishes of the patient.
There is a substantial body of low to moderate certainty evidence from long term observational studies of the benefits of supportive periodontal care (SPC) in patients who have had periodontal treatment. This suggests that tooth loss and disease progression is lower in patients who comply effectively with SPC and that most of these patients are less likely to experience tooth loss in the moderate to long-term.106 There is moderate certainty evidence that tooth loss in those who attend either regularly or irregularly is around 10% during SPC of at least 5 years duration.106 Although the evidence regarding the effectiveness of supportive periodontal care is largely drawn from observational studies, there is consistency in the findings across a significant number of studies. In addition, provision of supportive care has been standard practice for many years. Consequently, this guidance includes a strong recommendation in favour of SPC, based on low to moderate certainty evidence, because of the increased risk of tooth loss if SPC is not provided.
Low certainty evidence suggests that, for patients who are moving from active therapy to maintenance, regular recall appointments (e.g. three monthly) at the beginning of periodontal maintenance are beneficial, with the ongoing recall interval tailored to the patient’s clinical and behavioural circumstances.31, 107-109
Accordingly, recall intervals based on an assessment of the patient’s risk for disease progression are recommended by both the BSP implementation of European S3 - level evidence-based treatment guidelines for stage I-III periodontitis in UK clinical practice (BSP-S3) guideline6 and the Treatment of stage IV periodontitis: The EFP S3 level clinical practice guideline (EFP-S3).9
Further details on the development of the recommendations in this guidance can be found in Methodology.
The status of a previously stable patient during periodontal maintenance can change and deteriorate due to changes in general health (e.g. development of diabetes) or changes in other risk factors (e.g. stress level or smoking status). Therefore, at each recall visit a fresh assessment of the patient’s periodontal status and risk level, taking these factors into account, should be used to determine the next recall interval (see figure: Supportive periodontal care).

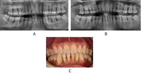
Image A shows a baseline radiograph for a 40-year old patient with Stage IV periodontitis. Image B shows a radiograph following 5 years of non-surgical treatment and supportive therapy. Note the bone healing, particularly in the lower right quadrant. Image C shows a clinical view of this patient at 5 years. Despite the extensive recession in the lower anterior region, there is no gingival inflammation and the level of oral hygiene is excellent. This patient had been a smoker at initial presentation and managed to successfully quit.
Components of supportive periodontal care
Key recommendation
For patients with a diagnosis of periodontitis who have completed active periodontal therapy, provide a comprehensive regime of supportive periodontal care that comprises updating patient histories, assessment of risk factor control, oral tissues and care needs, and treatment, where necessary.
(Strong recommendation; low certainty evidence)
Low certainty evidence, based on observational studies, suggests that a regime of supportive periodontal care that includes regular professional mechanical plaque removal (PMPR) is effective in maintaining periodontal stability.108 Accordingly, the BSP implementation of European S3 - level evidence-based treatment guidelines for stage I-III periodontitis in UK clinical practice (BSP-S3) guideline6 suggests performing PMPR as part of a maintenance programme, to limit the rate of tooth loss and provide periodontal stability/improvement. The BSP-S3 and the Treatment of stage IV periodontitis: The EFP S3 level clinical practice guideline (EFP-S3)9 guidelines, along with the Delivering Better Oral Health (DBOH) toolkit,7 also give advice on the typical components of a programme of supportive periodontal care.
Further details on the development of the recommendations in this guidance can be found in Methodology.
In patients who have previously received treatment for periodontitis, a comprehensive supportive periodontal care appointment should include assessment and treatment as follows:
For patients who are moving from active treatment to maintenance, schedule regular supportive care appointments, for example at three month intervals, to gauge the ongoing control of the patient’s disease status.
Update the patient’s medical and social history and assess the patient’s control of modifiable risk factors (e.g. plaque control, smoking status, HbA1c levels).
Carry out an oral examination that includes assessment of plaque biofilm and calculus deposits and periodontal heath status (i.e. level of inflammation, probing depths and bleeding on probing).
Ensure that a full mouth periodontal assessment is performed at least annually (see Full periodontal examination).
Review personal oral hygiene and, where necessary, provide personalised oral hygiene advice and instruction to assist and encourage the patient to improve their oral hygiene skills as well as their understanding of the value of good self-care routines (see Oral hygiene).
Where applicable, give advice on control of modifiable risk factors (see Smoking cessation and Control of diabetes).
Discuss the findings of the clinical examination with the patient and agree on next steps related to the clinical status at the time of examination.
- This may include timing for the next supportive care visit, re-treatment of sites that have deteriorated or referral for specialist care.
Carry out supra- and subgingival PMPR, where required, using an appropriate method.
- For example, remove supra- and subgingival plaque biofilm and calculus at sites ≥4 mm with subgingival deposits or sites that bleed on probing.
Correct local plaque retentive factors - for example, remove overhanging restorations or alter denture design.
Assess the patient’s risk for disease progression (see Assigning patient risk and Risk assessment tool), based on their medical history, known risk factors, periodontal status (e.g. degree of residual periodontal pocketing, levels of inflammation, levels of previous disease) along with levels of plaque control, and use this to inform future recall intervals for supportive periodontal care.