Periodontal health
Periodontal health
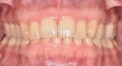
A diagnosis of periodontal health is characterised by minimal bleeding on probing (<10% of sites), erythema, oedema and patient symptoms, with no attachment loss or and bone loss (see figure: Periodontal health).38

This image shows a patient with gingival and periodontal health.
A diagnosis of periodontal health can be applied to patients where no bone loss has occurred (an intact periodontium) and those where there is evidence of bone loss only when bone has been lost for reasons other than periodontitis, for example crown lengthening surgery or recession due to overbrushing (a reduced periodontium).
The 2018 Classification of Periodontal Diseases defines periodontal health as <10% bleeding on probing and all sites with probing depths ≤3 mm on an intact periodontium or a periodontium that is reduced for reasons other than periodontitis.8 While the patient may be healthy at the time of the diagnosis, relevant risk factors should be noted as part of the diagnosis as these may impact the patient’s prognosis and risk of developing future disease.
An example of a diagnostic statement for a patient with periodontal health is:
Periodontal health, risk factor: social smoker (<20 cigarettes/week)