Gingivitis
Gingivitis
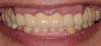
Gingivitis is characterised by the presence of bleeding on probing, erythema and oedema, but no loss of attachment or bone loss (see figure: Gingivitis).

This image shows a patient with inadequate oral hygiene and gingivitis around the crowns in the upper anterior region.
A diagnosis of gingivitis can be applied to patients with an intact periodontium and those with a reduced periodontium for reasons other than periodontitis (e.g. crown lengthening surgery; recession due to overbrushing).
The 2018 Classification of Periodontal Diseases defines gingivitis as ≥10% bleeding on probing and all sites with probing depths ≤3 mm on an intact periodontium or a periodontium that is reduced for reasons other than periodontitis.8 Patients with gingivitis can be further stratified by the extent of disease, with localised gingivitis defined as 10-30% bleeding sites and generalised gingivitis defined as >30% bleeding sites.
Dental plaque-associated gingivitis can be modified by systemic or local risk factors (e.g. hyperglycaemia, pregnancy, medication, dental crowding).
A separate category of non plaque-induced gingival diseases include those associated with genetic/ developmental disorders, specific infections and inflammatory/immune conditions.38
An example of a diagnostic statement for a patient with gingivitis is:
Localised gingivitis; risk factor: sub-optimally controlled diabetes