Risk factors for peri-implant disease
Risk factors for peri-implant disease
Patients who have active periodontal disease or a history of periodontitis present specific challenges when implants are being considered, when they are placed and after they are restored. The risk of development of peri-implant diseases, along with the prognosis of any remaining teeth and the dentition overall, should be considered for each individual patient during the planning phase (see figure: Peri-implant disease risk and Assessing tooth prognosis). In addition to periodontitis, patient-related risk factors112, 114-116 to be considered during treatment planning include:
- smoking;
- diabetes;
- the likelihood of further tooth loss;
- lack of adherence to maintenance care;
- inadequate oral hygiene.

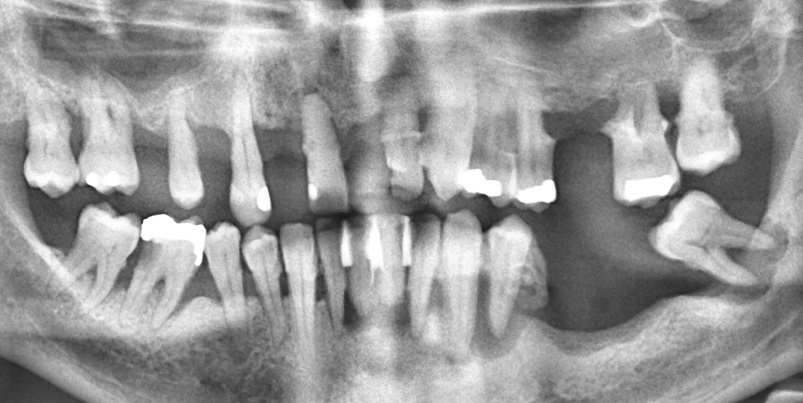
Irregularly attending patient who requested dental implants. The patient had generalised Stage IV periodontitis, caries in tooth 46 and gross calculus on all teeth and was high risk for peri-implant disease and implant failure.
Key recommendation
For patients with a diagnosis of periodontitis who are considering dental implants, ensure they are aware that they are at increased risk of peri-implant disease.
(Strong recommendation; low certainty evidence)
Low certainty evidence, based on observational studies, suggests that patients with a history of periodontitis have a higher risk of developing peri-implant disease.111-114 Accordingly, the EFP Treatment of stage IV periodontitis guideline9 includes a strong recommendation that when dental implants are considered in the rehabilitation of patients with stage IV periodontitis, information on the increased risk for peri-implantitis and implant loss should be provided.
Further details on the development of the recommendations in this guidance can be found in Methodology.
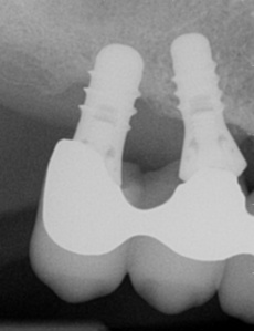
Factors related to the implant/prosthesis design and placement can also influence the risk of peri-implant disease (see figure: Poorly fitting restoration). However, aspects of surgical and prosthodontic planning, implant design, surgical implant placement and restoration are beyond the scope of this guidance and are not discussed in detail.*

Peri-implant bone loss around implants with poorly fitted and poorly seated crowns.
When considering dental implants, the patient should be made aware of any risk factors which may increase the risk of peri-implant disease and, where possible, these should be mitigated before implant treatment commences.
*These include iatrogenic factors such as incorrect surgical technique, incorrect positioning of the implant and foreign body reaction. In addition, aspects of the restoration which make oral hygiene and maintenance around the implants more difficult will contribute to an increased risk of peri-implant inflammation.
For patients with a diagnosis of periodontitis who are considering dental implants:
Inform patients of their increased risk of peri-implant disease and how this can be mitigated.
Advise patients of the need for increased maintenance care and vigilance post implant- placement.
Control risk factors and active disease, including periodontitis, before implant placement, where possible.
If responsible for designing the restoration, ensure the superstructure design allows for ease of access for oral hygiene, and also inspection of peri implant tissues to allow detection of inflammation at an early stage.
See Assessment and Diagnosis for further information on assessment and risk factors related to periodontal disease.