Implant oral hygiene
Implant-specific oral hygiene methods
It is important that the patient is aware that effective oral hygiene is critical in ensuring tissue health and the longevity of an implant.
The clinical team should determine what interdental aid is most suitable for use around any particular implant. This will be dependent on soft tissue contour around the restoration and access to the peri-implant margins. The patient should be encouraged to use an effective but atraumatic technique to avoid soft tissue injury. For example, stress that patients should use a gentle flossing technique and that the floss should not be forced below the peri-implant mucosal margin.
If used, interdental brushes should fit snugly into the interdental space without the wire rubbing against the superstructure or adjacent tooth (note that plastic coated interdental brushes are available). Rechargeable powered toothbrushes may be useful for any patient who cannot clean effectively with a manual brush.
Patients with a single implant crown can be encouraged to treat the implant as they would their natural dentition and to clean it with a toothbrush, interdental brushes, dental floss and implant floss.
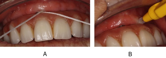
Patients with an implant-supported bridge or denture will require personalised training in oral hygiene techniques, such as the use of interdental brushes, single tufted brushes, dental floss and implant floss, in addition to toothbrushing at the cervical/mucosal edge of the restoration, to clean these prostheses (see figure: Implant oral hygiene).

Image A shows cross-over flossing of an implant supported denture. Image B shows the use of an interdental brush to clean an implant-supported denture.
Note that there is very limited evidence122 that rough, exposed dental implant threads can cause dental floss or implant floss to shed. Remnants of these may act as a foreign body and have been implicated in an increased risk of peri-implant disease. Therefore, patients with exposed dental implant threads should be advised to use interdental brushes to clean around the affected implant.